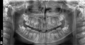
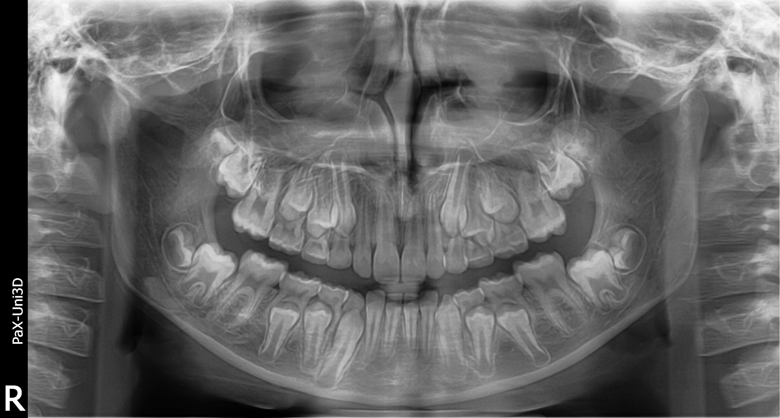
I_00000127 Ottobre 2025 by Studio Dentistico ZemellaArticoli correlati:ORTOGNATODONZIA risolta con la tecnica di ortopedia…