• Passa al contenuto principale
  • Passa alla barra laterale primaria
  • Passa al piè di pagina
Studio Dentistico Zemella

Studio Dentistico Zemella

Scienza, etica e passione. Da 35 anni

  • Home
  • Chi Siamo
    • Dr.ssa Antonella Zemella
    • Dr. Roberto Castellano
    • Dr. Davide Guglielmi
    • Dr.ssa Chiara Vitale
  • La Nostra Filosofia
  • Casi Clinici
  • Terapie
    • Prevenzione e Igiene Orale
    • Parodontologia – “Malattie gengivali”
    • Conservativa – “Otturazioni”
    • Endodonzia – “Devitalizzazioni”
    • Protesi – “Capsule e Ponti”
    • Chirurgia Orale e Implantologia
    • Ortodonzia
      • Tecnica multi bracket
      • Mascherine invisibili
      • Ortopedia funzionale
  • Domande Frequenti
  • Lo studio
  • Servizi
  • Contatti
    • Cookie Policy
    • Privacy Policy
    • Firma Grafometrica
Ti trovi qui: Home / ORTOGNATODONZIA risolta con mascherine invisibili(INVISALIGN®)

ORTOGNATODONZIA risolta con mascherine invisibili(INVISALIGN®)

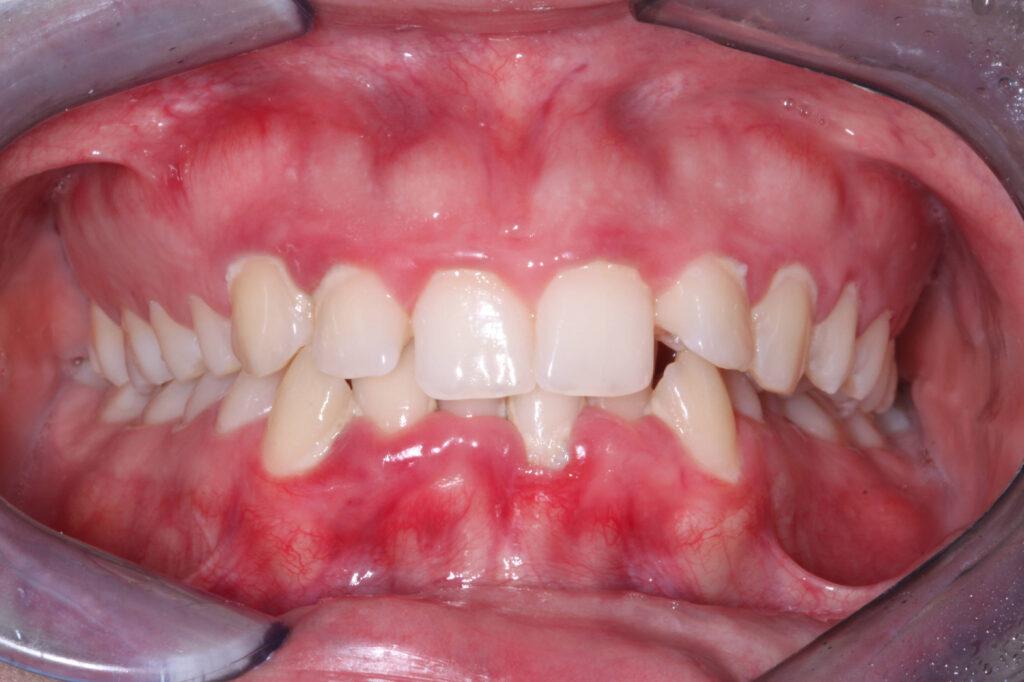
Caso 1 paziente B.F. anni 26 

Foto finale dopo 7 anni dalla fine della terapia

——————————————————————————–

Caso 2 paziente F.S. anni 32

——————————————————————————–

Caso 3 paziente M.S.

Articoli correlati:

  • Ortodonzia
  • ORTOGNATODONZIA risolta con tecnica multi bracket
  • ORTOGNATODONZIA risolta con la tecnica di ortopedia…
  • Chirurgia Orale e Implantologia
  • Conservativa - "Otturazioni"
  • Parodontologia - "Malattie gengivali"

Barra laterale primaria

Cerca nel Sito

  • Home
  • Chi Siamo
    • Dr.ssa Antonella Zemella
    • Dr. Roberto Castellano
    • Dr. Davide Guglielmi
    • Dr.ssa Chiara Vitale
  • La Nostra Filosofia
  • Casi Clinici
  • Terapie
    • Prevenzione e Igiene Orale
    • Parodontologia – “Malattie gengivali”
    • Conservativa – “Otturazioni”
    • Endodonzia – “Devitalizzazioni”
    • Protesi – “Capsule e Ponti”
    • Chirurgia Orale e Implantologia
    • Ortodonzia
      • Tecnica multi bracket
      • Mascherine invisibili
      • Ortopedia funzionale
  • Domande Frequenti
  • Lo studio
  • Servizi
  • Contatti
    • Cookie Policy
    • Privacy Policy
    • Firma Grafometrica

Footer

Contatti

Telefono 0331 642545

Consulto Online

Come Raggiungerci

Studio Dentistico Zemella
Via Solferino, 10/C, 21054 Fagnano Olona VA

Dott.ssa Antonella Zemella Via Solferino 10/C 21054 Fagnano Olona (VA) P.IVA 01796200127 Privacy Policy Cookie Policy